Anterior shoulder dislocation -An orthopedic nurse is a nurse who specializes in treating patients with bone, limb, or musculoskeletal disorders. Nonetheless, because orthopedics and trauma typically follow one another, head injuries and infected wounds are frequently treated by orthopedic nurses.
Ensuring that patients receive the proper pre-and post-operative care following surgery is the responsibility of an orthopedic nurse. They play a critical role in the effort to return patients to baseline before admission. Early detection of complications following surgery, including sepsis, compartment syndrome, and site infections, falls under the purview of orthopedic nurses.
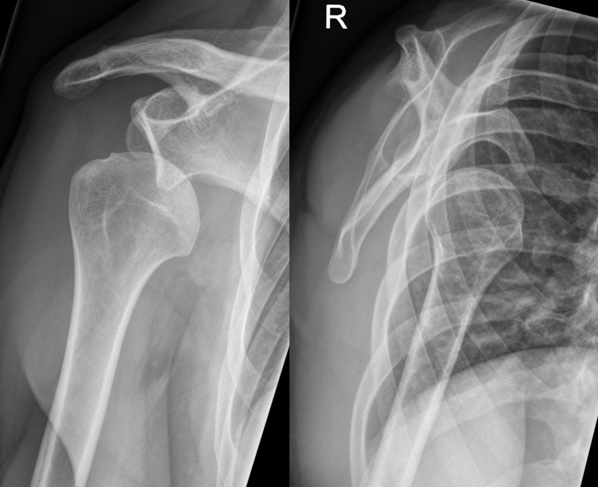
Anterior shoulder dislocation
Anterior dislocation of shoulder :
When dislocation occurs in anterior portion of the shoulder specially sub-glenoid,sub-coracoid, sub- clavicular is known as anterior shoulder dislocation.
Types of anterior shoulder dislocation:
Anterior dislocation of shoulder (95%)
a) Sub- glenoid. (Most common)
b) Sub-coracoid.
c) Sub-clavicular
Clinical feature of anterior shoulder dislocation:
A) History of patients:
1) H/O trauma, fall from tree, physical assult,
2) Plying- Cricket bowler, badminton.
B) Symptoms:
1) Severe pain on the affected shoulder
2) Inability to use the shoulder joint.
3) Patient s supports his limb with other hand in slight abduction.
C) Signs:
1) Inspection:
a) Flattening of affected shoulder.
b) Restricted movement.
c) Decrease muscle bulk on the injured shoulder.
2) Palpation:
d) Rounded anterior prominence of affected shoulder.
a) Dugas test: (positive) The patient is unable to touch the opposite shoulder with the affected shoulder.
b) Hamilton ruler test: Positive.
c) Callaways test: positive.
d) Pain increase on movement.
e) Measuèment of arm:
i) Length of arm shortened subcoracoid dislocation.
ii) Length of arm longer = glenoid dislocation.
[Ref-S.Das,clinical Surgery, 5th edition, Page-134 +John Ebnezar’s “Textbook of Orthopedics” 4″ edition, Page-129]
Treatment of anterior shoulder dislocation:
A) General methods:
1) Complete bed rest.
2) Immobilization of the affected limb for 3-4 weeks.
3) Immobilization with collar and cuff sling with triangular bandage.
B) Techniques/ Methods of traction:
1) With Stimson’s technique: The patient is left prone with the arm hanging over the side of the bed. After 15 or 20 minutes the shoulder may reduce. It also known as Stimson gravity methods.
2) In the Hippocratic method: Gently increasing traction is applied to the arm with the shoulder in slight abduction, while an assistant applies firm counter traction to the body (a towel slung around the patient’s chest, under the axilla, it is not used today.
3) With Kocher’s method: The elbow is bent to 90° and heldu close to the body; no traction should be applied. The arm is slowly rotated 75 degrees laterally, then the point of the elbow is lifted forwards, and finally the arm is rotated medially. This technique caries the risk of nerve, vessel and bone injury and is not recommended.Kocher methods consist of four important steps (TEAM)T-Traction, E=External rotation.
A-Adduction, M=Medial Rotation.
[Ref-Apley’s “System of Orthopaedics and Fractures” 9th edition page-740]
Complications of anterior shoulder dislocation :
A) Early complications:
1) Rotator cuffs tear.
2) Nerve injury.
3) Vascular injury.
4) Fracture-dislocation.
B) Late complications:
1) Shoulder stiffness.
2) Unreduced dislocation.
3) Recurrent dislocation
[Ref-Apley’s “System of Orthopaedics and Fractures” 9th edition page-741]
Nursing care management for shoulder dislocation:
A) Preoperative nursing care:
1) Keep the patients in comfortable position.
2) Give analgesics to reduce the pain
3) Carry out an x ray to confirm the diagnosis.
4) Take the decision of operation.
5) Take the written consent from patients or attendents.
6) Give mental supports to reduce fear.
7) Explain the benefits of operation.
8) Carry out all investigation as well as confirm for G/A fitness.
9) Clean the operative area specially hair removing if present.
10) Keep the patients in NPO status from night,6-8 hours prior to operation.
11) Start an i/v line on opposite limb and give the premedication injection like Inj.Rantac, Inj.perinorm, Inj TT, inj.xylocaine as per the instruction of the surgeon or anaesthesist.
B) Post operative nursing care:
1) After the patients regains consciousness and is shifted to ICU, shoulder is immobilized by application of a body bandage using 4 or 6″ bandage rolls after sufficient padding of the axilla or by using commercially available shoulder harness.
2) A colar and cuff sling is used to support the limb.
C) Follow up care:
1) Ensure the body bandage is in position. If it has loosened tighten it up.
2) Adjust and tighten the sling.
3) Check for any skin allergy,excoriation etc.
4) If the bandage is solid change it.
5) Instruct the patient to carry out the day to day functional activities with the unaffected arm.
6) Active finger exercise for the affected limb and active exercise for all joints of the unaffected extremity.
7) After 3-4 weeks gradual mobilization and strengthening exercise of the shoulder has to be done under the guidance of a physiotherapist.
[Ref-BT.Basavanthappa, Orthopedics for nurses, I edition,page-181]



