Fracture of radius & Ulna – An orthopedic nurse is a nurse who specializes in treating patients with bone, limb, or musculoskeletal disorders. Nonetheless, because orthopedics and trauma typically follow one another, head injuries and infected wounds are frequently treated by orthopedic nurses.
Ensuring that patients receive the proper pre-and post-operative care following surgery is the responsibility of an orthopedic nurse. They play a critical role in the effort to return patients to baseline before admission. Early detection of complications following surgery, including sepsis, compartment syndrome, and site infections, falls under the purview of orthopedic nurses.
Fracture of radius & Ulna
Common sites of ulner fracture:
1. Olecranon prosess.
2. Coronoid process.
3. Fracture shaft of upper 3rd of the ulna with the superior radio ulnar dislocation (Monteggia fracture – Dislocation).
4. Shaft of the ulna.
5. Styloid process.

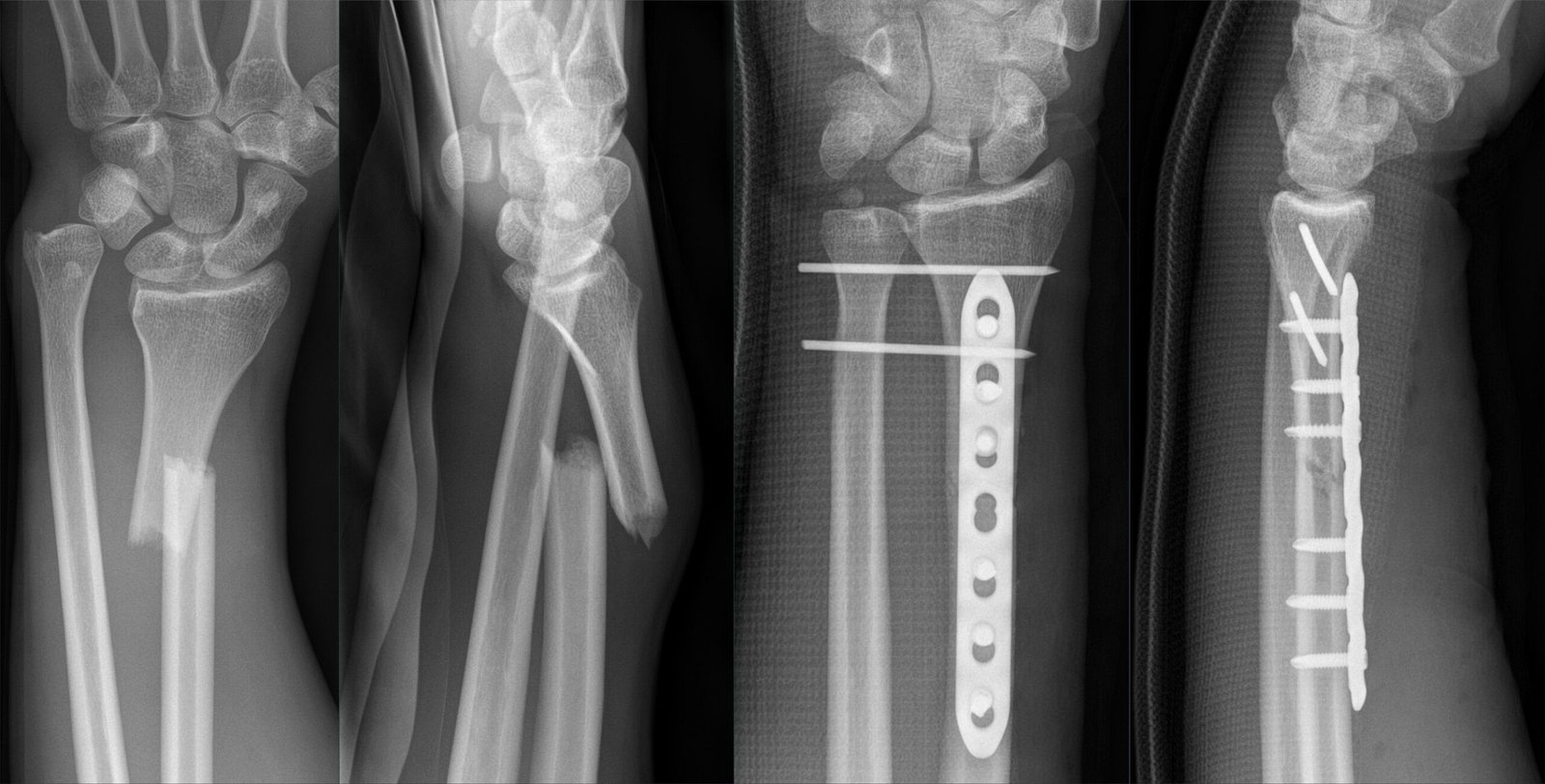
Galeazi fracture:
Defined as a fracture of the radius with associated dislocation of the distal radio-ulnar joint. A useful way of remembering this type of forearm fracture is with the acronym ‘GFR’ – Galeazzi Fractured Radius.
Clinical fatures of Galeazi fracture:
1. The patient will complain of pain and be reluctant to move the forearm or wrist.
2. An obvious deformity at the site of the radial fracture may be apparent.
3. Tenderness fracture crepitus along the distal radius may be present.
4. On comparison with the opposite side, the ulnar head will besz prominent with associated soft tissue swelling.
Radiological features:
1) The radius will commonly be fractured at the junction of middle and distal thirds.
2) The radius will often appear shortened.
3) Carefully assess the distal radio-ulnar joint for widening. 4) On the lateral view, the head of the ulna is usually displaced mali dorsally.
5) There will often be dorsal angulation of the radial fracture.

Manage Galeazi fracture:
1. Analgesia and immobilize.
2. ORIF with DCP plate and screw.
3. Careful follow-up.
4. With late missed injuries, surgical excision of the ulna head can be of benefit.
