Smith fracture -An orthopedic nurse is a nurse who specializes in treating patients with bone, limb, or musculoskeletal disorders. Nonetheless, because orthopedics and trauma typically follow one another, head injuries and infected wounds are frequently treated by orthopedic nurses.
Ensuring that patients receive the proper pre-and post-operative care following surgery is the responsibility of an orthopedic nurse. They play a critical role in the effort to return patients to baseline before admission. Early detection of complications following surgery, including sepsis, compartment syndrome, and site infections, falls under the purview of orthopedic nurses.
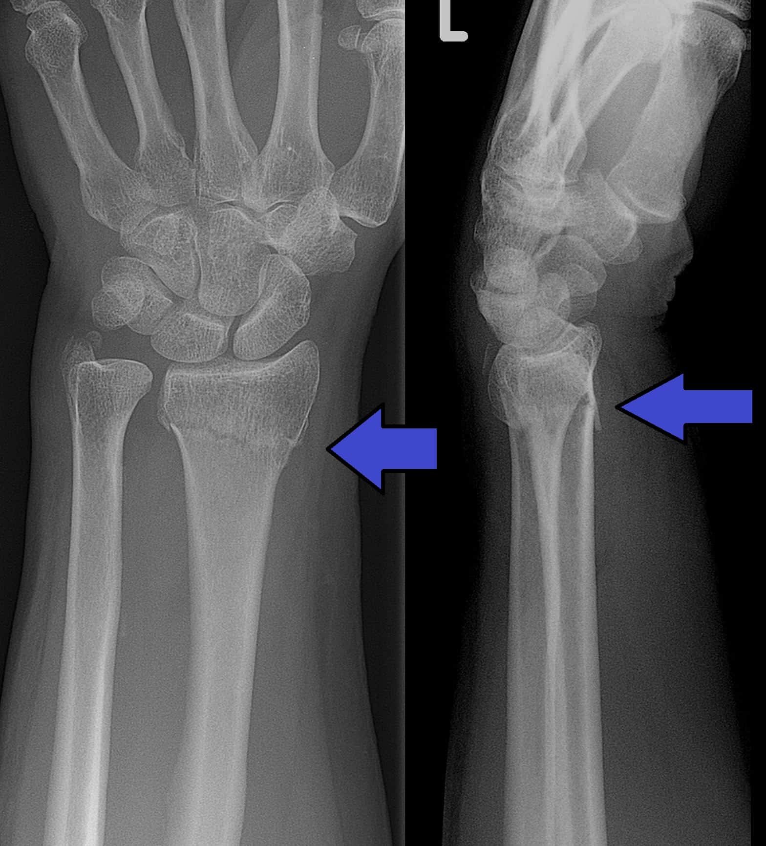
Smith fracture | CHAPTER 5 | Orthopedic Nursing
A fracture of the distal radius is known as a Smith’s fracture. The most frequent mode of injury for Smith’s fracture is a palmar fall with the wrist joint slightly dorsiflexed, though it can also be brought on by a direct impact to the dorsal forearm or by a fall with the wrist flexed. Compared to Colles’ fractures, Smith’s fractures are less frequent.

Unlike a Colles’ fracture, where the fragment is moved dorsally, a distal’ fracture fragment is displaced volarly, or ventrally. The number of fragments and whether or not the wrist joint’s articular surface is involved will depend on how hard the impact was made.
Smith fracture:
Fracture of the lower end of the radius with anterior dislocation.
a) Colles fracture.
b) Fracture on fall in an outstretched hand:
- Colles fracture.
- Scaphoid fracture.
- Supracondylar fracture.
- Fracture of neck of femur.
- Fracture of clavicle.
c) Nursing care management of colles fracture: please add from long arm full plaster in cast chapter.

